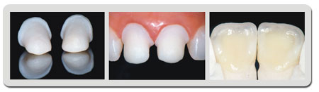
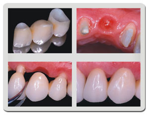
PROTESE FIXA
É a restauração parcial ou total da coroa de um dente quando se denomina prótese fixa unitária, ou a substituição de um ou mais dentes perdidos, quando se denomina prótese parcial fixa (ponte fixa). Ao ser fixada sobre os dentes, previamente preparados para recebê-la, recebe o nome de 'fixa' porque não pode ser removida pelo paciente ou pelo dentista, a menos que este a corte com o uso de brocas especiais.
As próteses fixas podem ser só metálicas; metálicas revestidas por um material estético plástico ou cerâmico, da cor dos dentes; de cerâmica; e de resinas ou plásticos especiais, e as de última geração denominada prótese 'metal free' (livre de metal).
A durabilidade de uma prótese fixa depende de vários fatores:
1- de um bom exame e planejamento prévios;
2- da técnica e dos materiais utilizados;
3- da fineza da adaptação da prótese aos dentes;
4- da boa relação da prótese com os tecidos gengivais;
5- da justeza da sua oclusão, isto é, da sua harmonia com a oclusão.
| Note: Tudo isso vai depender do grau de especialização do dentista e do seu protético, das condições de trabalho que o paciente oferece ao seu dentista e dos seus cuidados de manutenção da saúde bucal. |
O trabalho de prótese dentária é demorado. Um bom profissional não consegue fazer uma incrustação metálica fundida, que é a prótese mais simples em uma única sessão, pois ela exigirá, no mínimo, de três a quatro sessões clínicas de 1 hora, e 3 sessões laboratoriais.





Categoria: Reabilitação Oral
Publicado em: 11/03/2014
